Posted on: 18 October, 2022
If you started to experience tooth pain or jaw pain during the pandemic, that might not be a coincidence.
2 minute read
The Covid-19 pandemic has been a difficult time for many Australians and people around the world, taking its toll on physical and mental health in many ways. Even 3 years after Covid-19 first hit, inflation, rising living costs and the war in Ukraine continue to cause prolonging stress. One of the lesser-known effects of this stress has been an increase in teeth grinding and jaw clenching habits, known to dentists as bruxism.
Bruxism can damage teeth and cause other long-term problems if it isn't treated. If you think you or someone in your family might grind your teeth at night or during the day, talk to your dentist for advice or to discuss teeth grinding treatment.

Teeth grinding and clenching are normally unconscious habits and are often linked to stress or anxiety. Dentists have seen a noticeable rise in teeth grinding cases during the pandemic, as people have struggled with concerns over their health and that of their loved ones, lifestyle changes, financial or job security and other worries.
Research has supported the link between pandemic stress and teeth grinding. A 2020 study (1) of 1,800 subjects in Israel and Poland found that self-reported rates of teeth grinding at night increased from 10 per cent to 36 per cent during the pandemic, while the severity of bruxism symptoms increased by around 15 per cent.
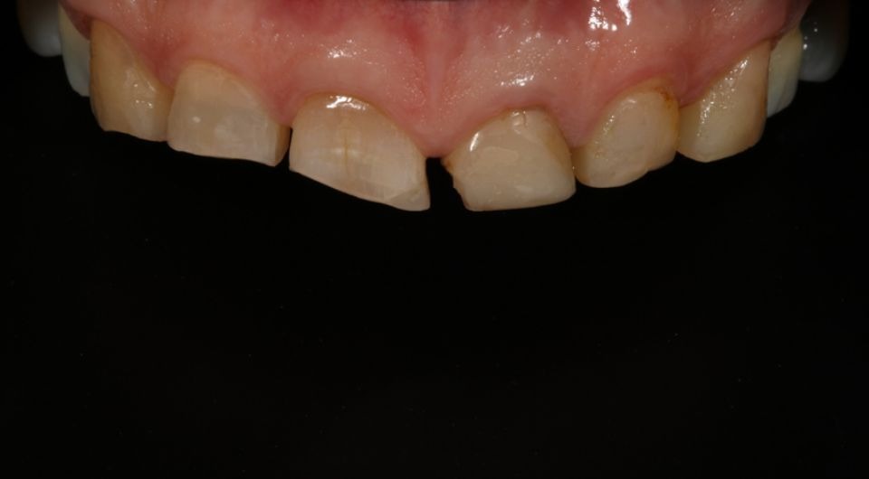
Australian dentists have also reported an increase in patients with grinding issues including headaches, neck aches and broken teeth. At EVP Dental, the issuance of protective mouthguards doubled over the two years from 2019 to 2021.
Teeth grinding can have other causes besides stress, including:
Teeth grinding doesn't always cause harm and can often go away on its own without treatment, but prolonged teeth grinding or jaw clenching that's left untreated may lead to problems over time, such as:
If your grinding wears down tooth enamel to a point where the dentine under the enamel is exposed, the tooth is at risk of damage. Bacteria can access the tooth roots and dental pulp inside of the tooth causing an infection. This is when root canal therapy is required to clean and disinfect the tooth to stop it from dying.

If you regularly experience any of these symptoms, you might be grinding your teeth at night without even knowing it. Your dentist can examine your mouth, looking for tell-tale signs and discuss your symptoms and risk factors to determine whether teeth grinding is the likely cause.

A dentist is the best professional to talk to about problems concerning your teeth or jaw. They will aim to identify the reason or reasons behind your teeth grinding so they can treat the cause as well as the symptoms.
Depending on the cause of your bruxism, treatment or self-care recommendations may involve:


If you think you might have symptoms of teeth grinding or another problem, make an appointment at EVP Dental so our experienced dentists can examine your teeth and recommend suitable treatments. Call us today on (08) 9470 3944 or book online. We welcome patients from all southern Perth suburbs.