• Fillings Seal Gaps

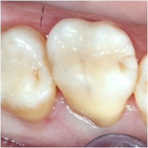
    White fillings are made from composite resin that help seal gaps left by cavities and decay, they also prevent bacteria from damaging the tooth further. White fillings are custom made to closely match your natural tooth colour, so you won’t be able to notice them.

    Book Online
    Fillings Seal Gaps
  • When to Get a Filling

    If you commonly experience tooth sensitivity when you eat or find food debris gets stuck easily in your teeth, it may be due to tooth cavities. The only way to know is to visit the dentist so they can examine your mouth and if they spot early signs of tooth decay, they may recommend a filling to repair the holes left in your teeth. 

    Keeping six-monthly check-up and cleans at the dentist can help prevent tooth decay from advancing into something more costly and painful to repair down the track. Even if you don’t experience any pain, your dentist may still recommend a dental filling to prevent tooth decay from spreading.

    Think you may need a filling? Our friendly and experienced dentists in East Victoria Park can help. Call 08 9470 3944 or book online.

    Book Online
    When to Get a Filling
  • How to Practice Good Oral Hygiene

    Practicing good oral hygiene at home reduces the risk of developing tooth decay and gum disease. Look after teeth and gums in between visits by:

    • Brushing teeth twice a day
    • Using floss or an interdental brush once a day
    • Using an antibacterial mouthwash
    • Avoid rinsing after brushing to keep fluoride active for longer
    • Drinking water regularly
    • Reducing your sugar intake
    • Avoiding acidic foods and soft drinks
    • Avoid using teeth to open plastic packets, bottles or cracking nuts
    Book online
    How to Practice Good Oral Hygiene
  • Mercury Amalgam Fillings

    Amalgam is a combination of silver, copper, tin and mercury used to make a dental filling that is silver in colour. Amalgam has been used for many years and is proven for its safety, durability, effectiveness and low cost. In more recent times, amalgam fillings have come under scrutiny for the small traces of mercury they contain and possible toxicity when being absorbed by the body. 

    While there is no scientific evidence to relate amalgam to mercury toxicity, its use and removal is controversial.

    If you're concerned about old silver fillings, get in touch with us so we can explain the risks and benefits of having them removed.

    Contact us
    Mercury Amalgam Fillings
  • The Use of Amalgam and ADA

    The Australian Dental Association (ADA) is the peak national body for dentists designed to support members to provide safe, high quality professional oral health care. On dental amalgam safety, the body advises dentists to continue using materials that are proven to be safe and are included in the Australian Register of Therapeutic Goods. 

    Got questions? Send us an enquiry.

    Send Enquiry
    The Use of Amalgam and ADA
  • Filling Treatment risks

    Risks to be aware of with dental fillings:

    • Mild, temporary sensitivity after treatment
    • Ongoing discomfort if the filling isn’t balanced correctly
    • Nerve irritation or infection in deeper cavities
    • Fillings breaking, loosening, or wearing down
    • Uncommon allergic reaction to filling material
    • Hidden decay under the filling leading to further problems
    • Higher chance of tooth fracture when large fillings are placed

    When treatment is performed by an experienced, qualified dentist and proper post-operative care is followed, your risks are reduced. If you have questions or are concerned about filling treatment, talk to your dentist to help you make an informed decision.

    Contact us
    Filling Treatment risks

Frequently asked questions

White fillings are typically made from a composite resin containing plastic and glass that's applied to the prepared cavity by a dentist and hardened. White fillings may also be made from porcelain (ceramic) and prepared outside the mouth. Silver fillings are an amalgam of several metals, including copper, mercury, tin and zinc which are less commonly used by dentists today.

Toothache is a common symptom of tooth decay and cavities, but a damaged tooth isn't always painful, especially for older people whose teeth may be less sensitive. Having regular dental check-ups gives your dentist the chance to spot early signs of tooth decay and cavities before too much damage is done.

If you haven’t seen the dentist in a while, it might be worth having your teeth and gums checked. Contact EVP Dental on 08 9470 3944 or book online for a consultation today.

A white filling can last from 5 to 10 years with good care before it needs to be replaced, while porcelain fillings can last longer, but they also cost more. Cast gold and amalgam mercury fillings have the longest lifespan due to their strength and durability but are less popular because of their appearance. 

Your Victoria Park Dentists

We give you something to smile about! Get in touch with our team today.